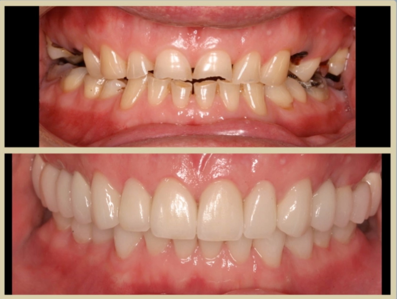
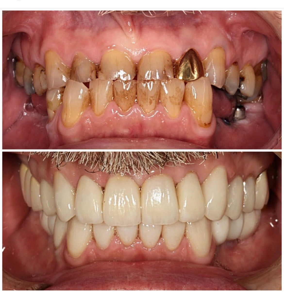
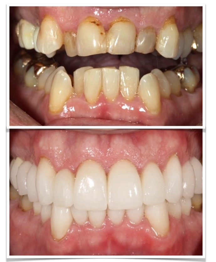
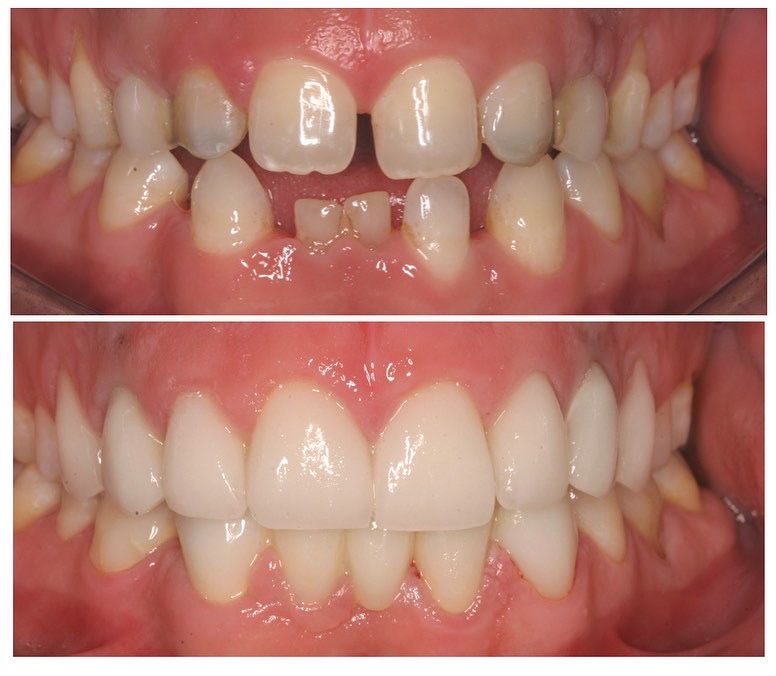
SMILE GALLERY
Dr. Mangot can help you attain the smile you have always wanted.
An ordinary smile can become an extraordinary smile by incorporating porcelain veneers, porcelain crowns, implants, soft tissue laser therapy, and teeth whitening.
See how smile rejuvenation has enhanced the lives of a sampling of patients below.




